https://www.radiancedentistryclinic.com
918296504553

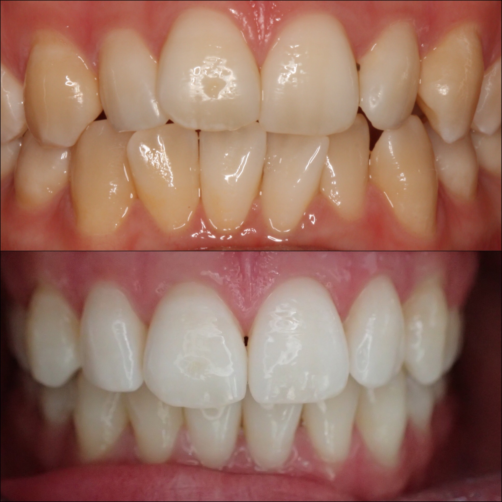
Myths and Facts about Teeth Whitening – Radiance Dentistry

Myths and
2025-09-23T06:36:08
RADIANCE DENTISTRY Dental Clinic
Myths and Facts about Teeth Whitening – Radiance Dentistry
Message Us

other updates

Book Appointment

No services available for booking.

Select Staff

AnyBody

Morning
    Afternoon
      Evening
        Night
          Appointment Slot Unavailable
          Your enquiry
          Mobile or Email

          Appointment date & time

          Sunday, 7 Aug, 6:00 PM

          Your Name
          Mobile Number
          Email Id
          Message

          Balinese massage - 60 min

          INR 200

          INR 500

          services True True +917292038497